Case Scenario 4 - Direct Laminate

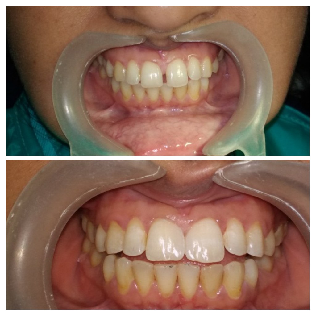
A 25 year old girl visited to our clinic as she wanted to improve her smile which was looking bad due to to gap in in her upper front two teeth. Medical history was taken and she was fit for all the dental procedures. Dental history revealed history of composite restoration which was not satisfactory to her due to colour change. Radiogical examination was conducted which included digital x-rays. Treatment planning included Diagnostic impression then photographs and detailed case history on a day prior to smile designing and direct composite procedures. On Diagnostic cast we did a wax mockup and patient was given a trial ride so that she could get a feel how her permanent Restoration will look alike. Patient was very happy with temporization. Direct composite restoration 1 hour after trial . local anaesthesia was administered,rubber Dam isolation was executed and composite build up was done using Z 350 e e as restorative material. post operative instructions were given which included avoidance of chewing too hard substances like supari and avoiding of of food that causes too much load on the restored surface.