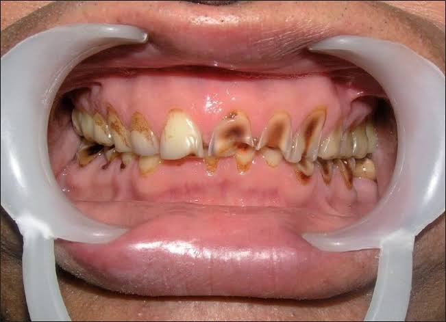
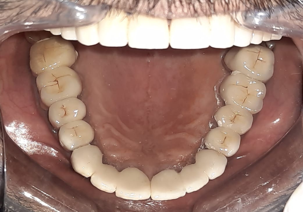
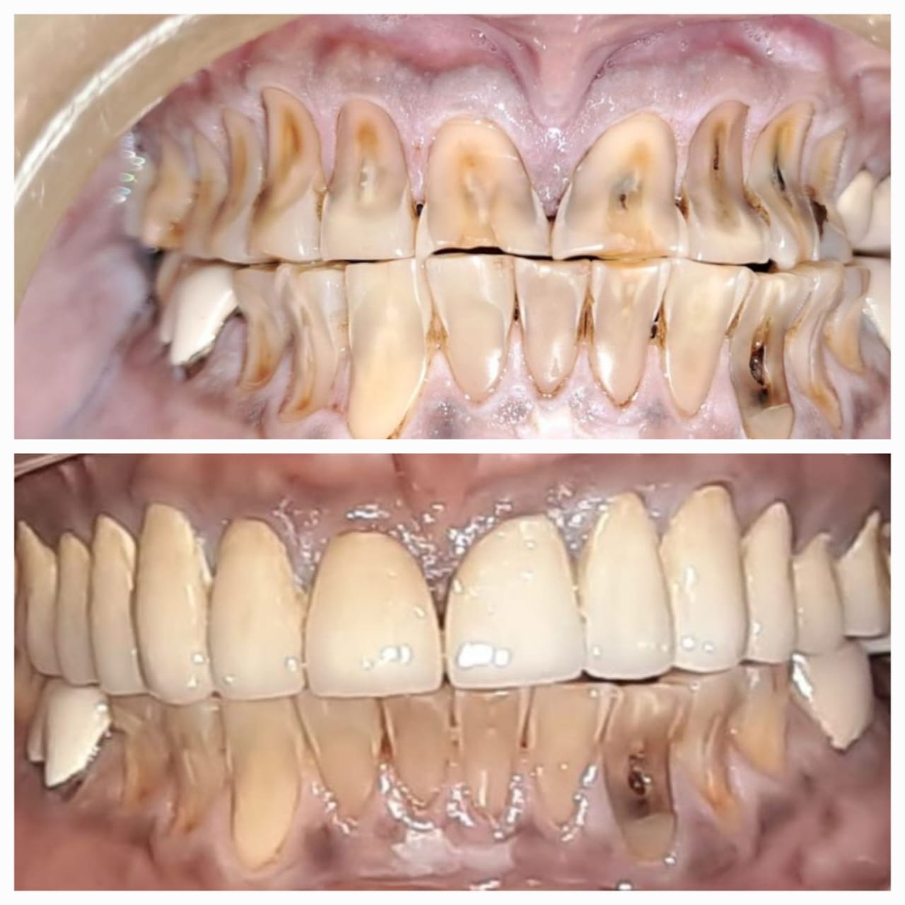
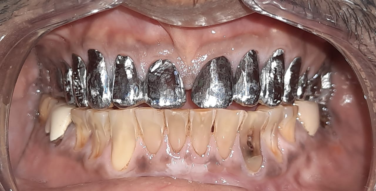
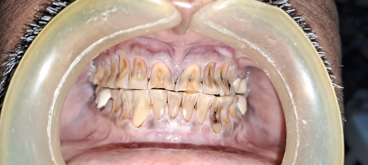
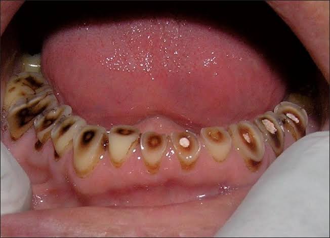
Case Scenario 1 - Full Mouth Rehabitilation

Patient wanted to get a new set of new teeth as old teeth were severely attrited and he was not able to chew. Medical history was taken and patient was fit for all the dental procedure. A detailed radiographic examination was conducted with the help of opg Treatment planning. A detailed case history along with radiological investigation and recording of of Bite of patient it was done in first visit. An appliance to relieve occlusion was given for 21 days Root canal treatment it was perform for all the teeth in subsequent visits. Occlusion was recorded using a specialised semi adjustable articulator. A temporary prosthesis was given to be used for or 15 days. A permanent Restoration was fabricated using pfm Crowns. A patience on patient end is a much needed thing as it involves time duration of of 1 to 2 months. Patient has to be absolutely serious about the treatment protocols which we are following as it involves use of appliances on patients end. Patient has to leave habit of eating Supari and tobacco as it was the cause in in severe reservation and attrition of teeth the artificial prosthesis is a finely crafted instrument that needs to be used with precision. so patients willingness and a positive mindset is Paramount in treating such cases.

Case Scenario 2 - Full Mouth Rehabitilation

Exciting News! Discover the Steps of Full Mouth Rehabilitation for a Dazzling Smile! Are parafunctional habits like kharra and ghutka taking a toll on your dentition? Say goodbye to improper chewing, loss of facial aesthetics, and digestive troubles with our expert team at Chintamani Dental Clinic!
Step 1: Accurate Diagnosis Using our in-house OPG, we pinpoint the issues to create a tailored plan just for you.
Step 2: State-of-the-Art Treatments Experience top-notch root canal treatments and effective temporization protocols for optimal oral health.
Step 3: Precise Impressions Utilizing cutting-edge scanning technology, we ensure accurate impressions for a perfect fit.
Step 4: Exceptional Dental Lab Our second nature Dental lab crafts your dream smile with utmost precision.
Step 5: Choose Excellence Experience the difference at Chintamani Dental Clinic, Vishwaprabha Complex, Civil Line, Yavatmal.
Ready to transform your smile? Book your appointment now at 9766912379. Your journey to a stunning smile starts here! #ChintamaniDentalClinic #SmileWithConfidence