Case Scenario 8 - Root Canal Treatment

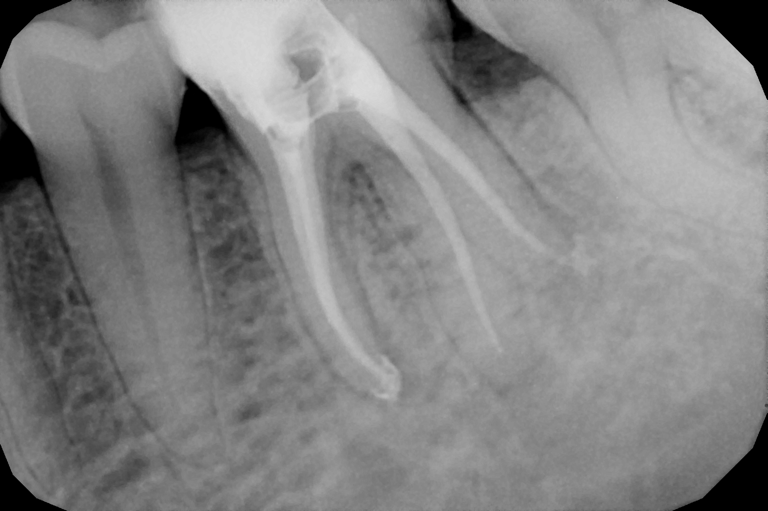
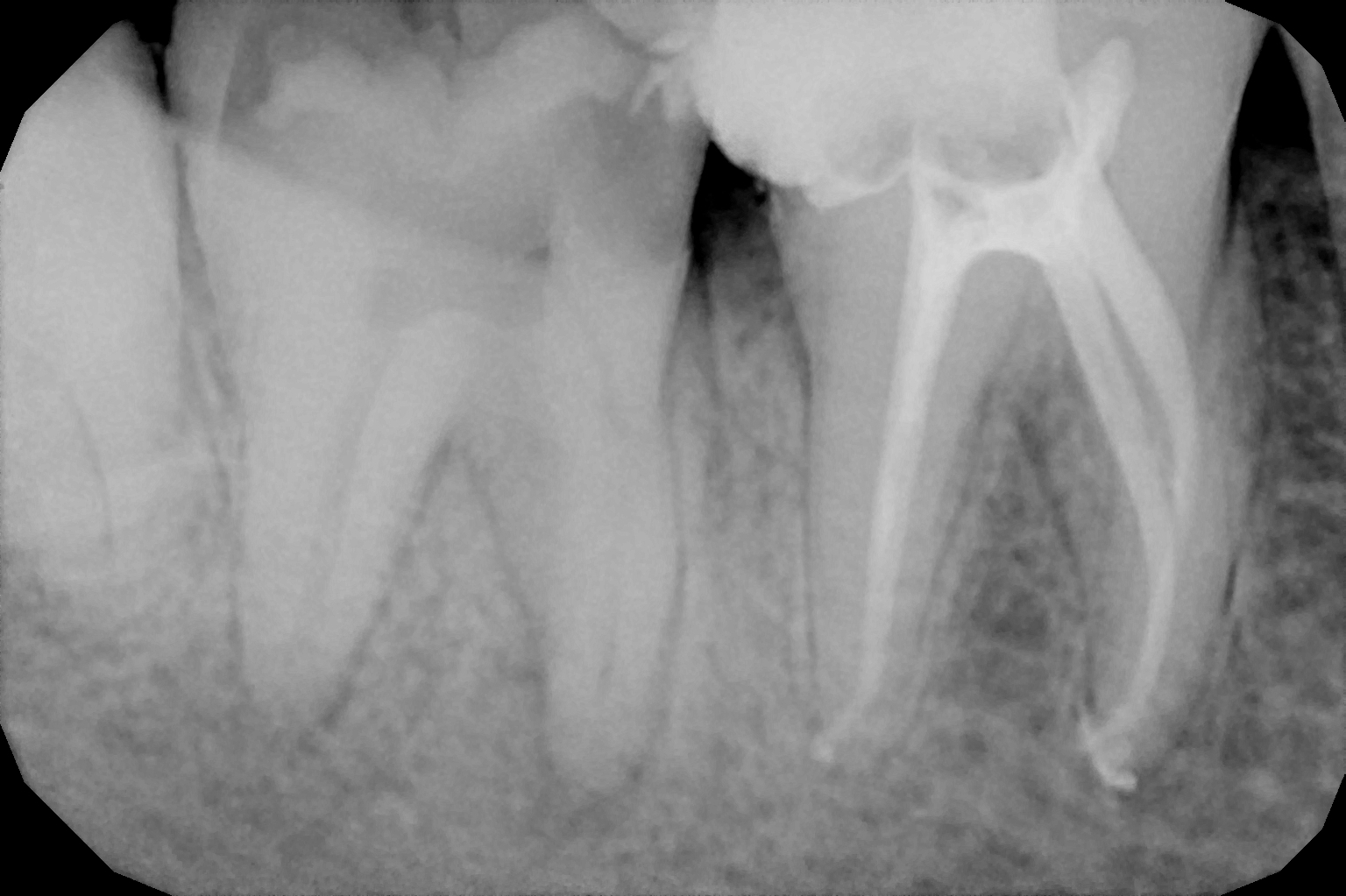
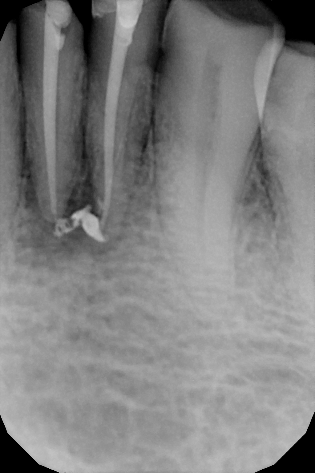
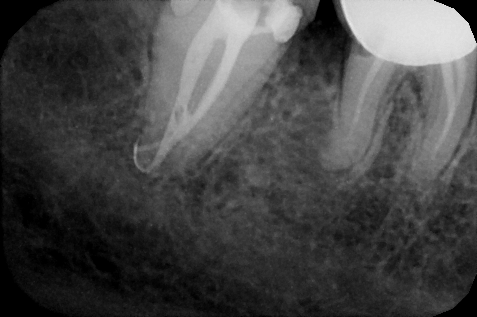
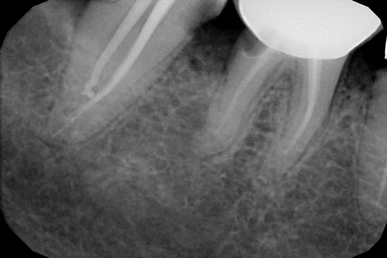
When the tooth is is sensitive to particularly hot and cold. When you cannot chew from that side or there is associated action of pain and swelling with same tooth, root canal treatment can save the tooth. For root canal treatment our clinic is equipped with state-of-the-art facility. We are following the protocol that is universally accepted and considered as a gold standard We are using rubber Dam for maximum possible cases. The root canal treatment is done under local anaesthesia that's why mostly it is painless . The rubber Dam isolation helps in proper irrigation and it provides much needed ease to the operating dental surgeon and the patient . The sealer and filling material are one of the Prime requisite of quality root canal treatment, it needs use of multiple X rays to really judge whether the results are acceptable or not. In older days root canal was just about cleaning the decade portion, removing the Pulp and filling it with biocompatible material but nowadays the root canal treatment it is very much advanced the precision is increased manifold. The materials and armamentarium that is required for efficient root canal have advanced in exclusion initial ways the the Abstract of all these things is the patients are getting great results after root canal treatment. Only the root canal is not sufficient to make a tooth functional again ,it needs use of Core buildup material and complete coverage Crowns according to the tooth position. During Covid19 time we have studied and implemented use of of high strength composites in our practice and the results of it are amazing many times it has saved tooth from being restored with crown. In some cases where the tooth is grossly carious we need a complete coverage crown. The materials and the Crown materials are are available in various price ranges. We prefer only the best of materials for our patients. We believe that to perform best treatment we need best of the armamentarium and best of the material for our patients who value and deserve the best of the treatment.