Case Scenario 6 - Fractured Mandible

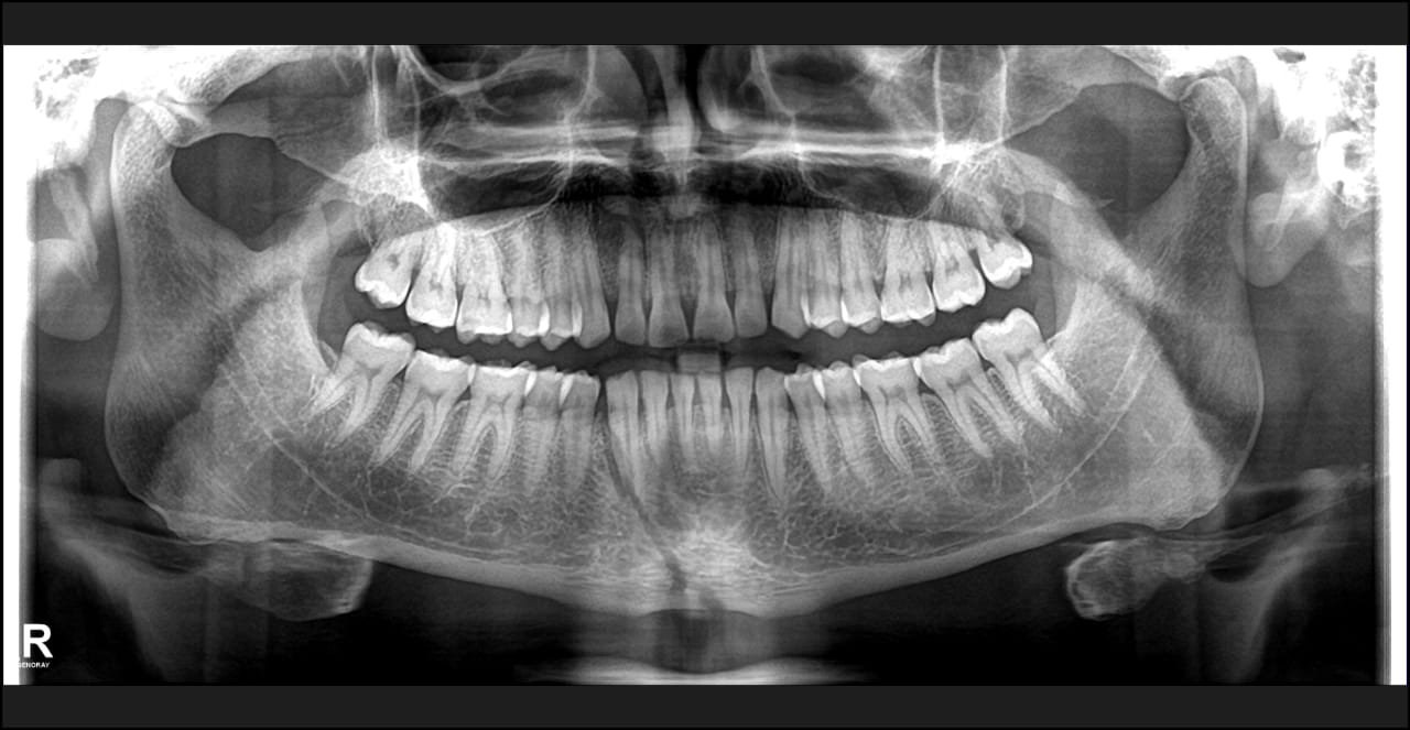
33 year old male patient reported to our clinic with history of road traffic accident and severely bleeding wounds. Medical history suggested that his fit for the the dental procedure. Radiological examination was conducted with the help of opg. Local anaesthesia is administered and arch bar is placed in upper and lower jaw. the the occlusion is established at Centric occlusion . The Jaws were fixed to each other for 21 days. Post operative instructions were given that patient has to be on liquid diet for next 21 days as he won't be able to chew the food due to closure of mouth. The fractured segment treatment this is a very important step and 90% of fracture related to oral cavity are treated in the same conservative way.