Case Scenario 1 - Immediate Implant

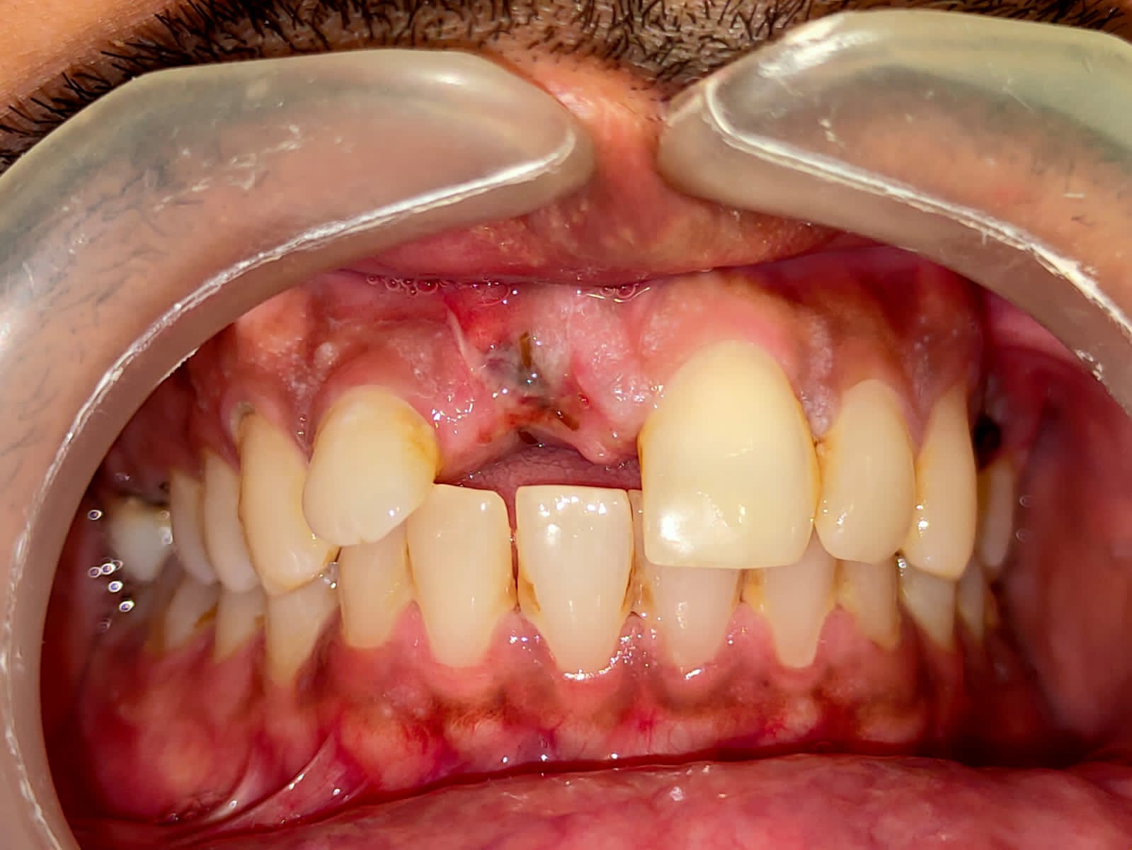
A 35 year old male patient visited to our clinic with complaint of broken tooth in upper front region of the jaw and missing teeth in in upper left back region. On examination we found fractured tooth due to failed root canal in upper front region of the jaw and left back region of the jaw. Medical history is satisfactory and patient is healthy for treatment. Radiographic examination was advised and CT Scan was taken for establishing bone height, width and angulation Surgical phase planning : we decided to place 3 implants 1 in upper front region of the jaw and two implants in upper left back region. Temporary crown was to be delivered on third day subsequent treatment of giving permanent Crown will be done after radiological confirmation in third month.

Steps :

1. Local anaesthesia was administered and upper Broken tooth was removed with socket preservation.

2. Implant was placed in upper front region and upper left back region.

3. Resorbable sutures were placed.

4. Temporary crown is delivered